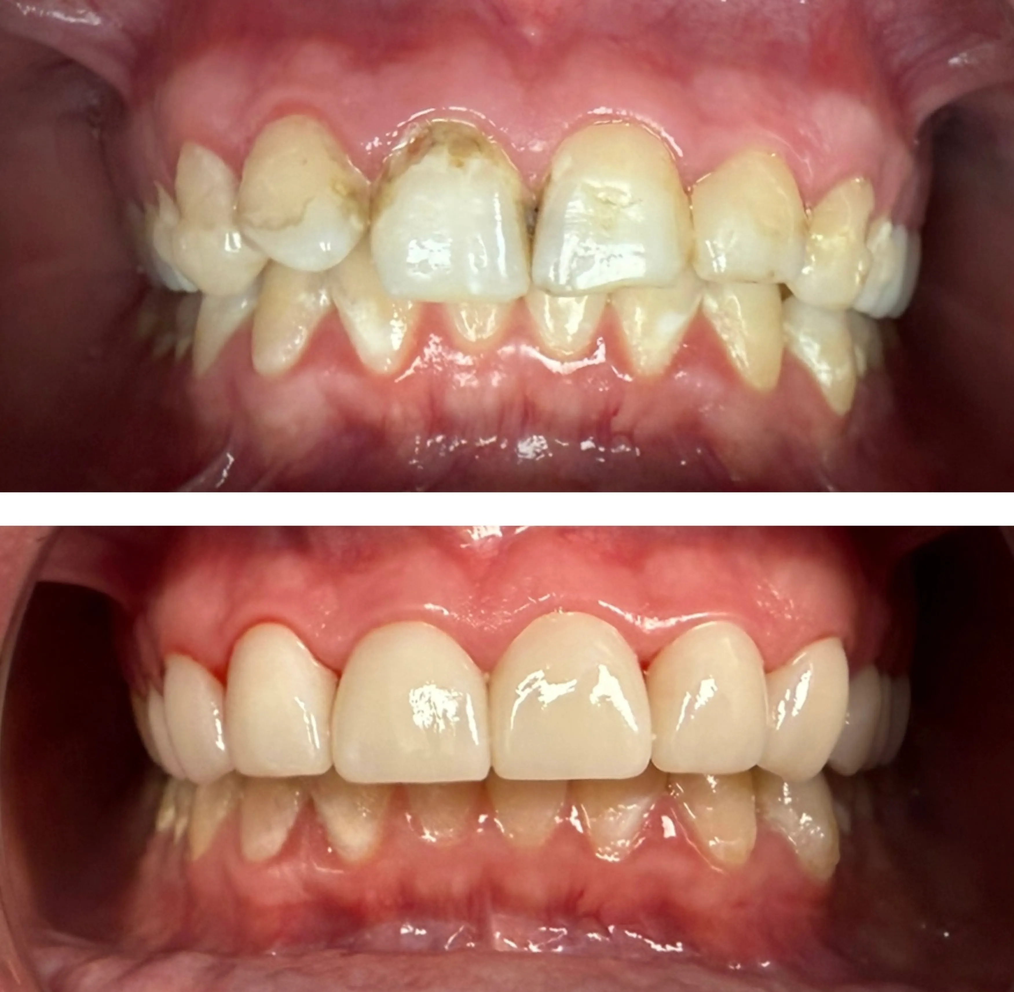
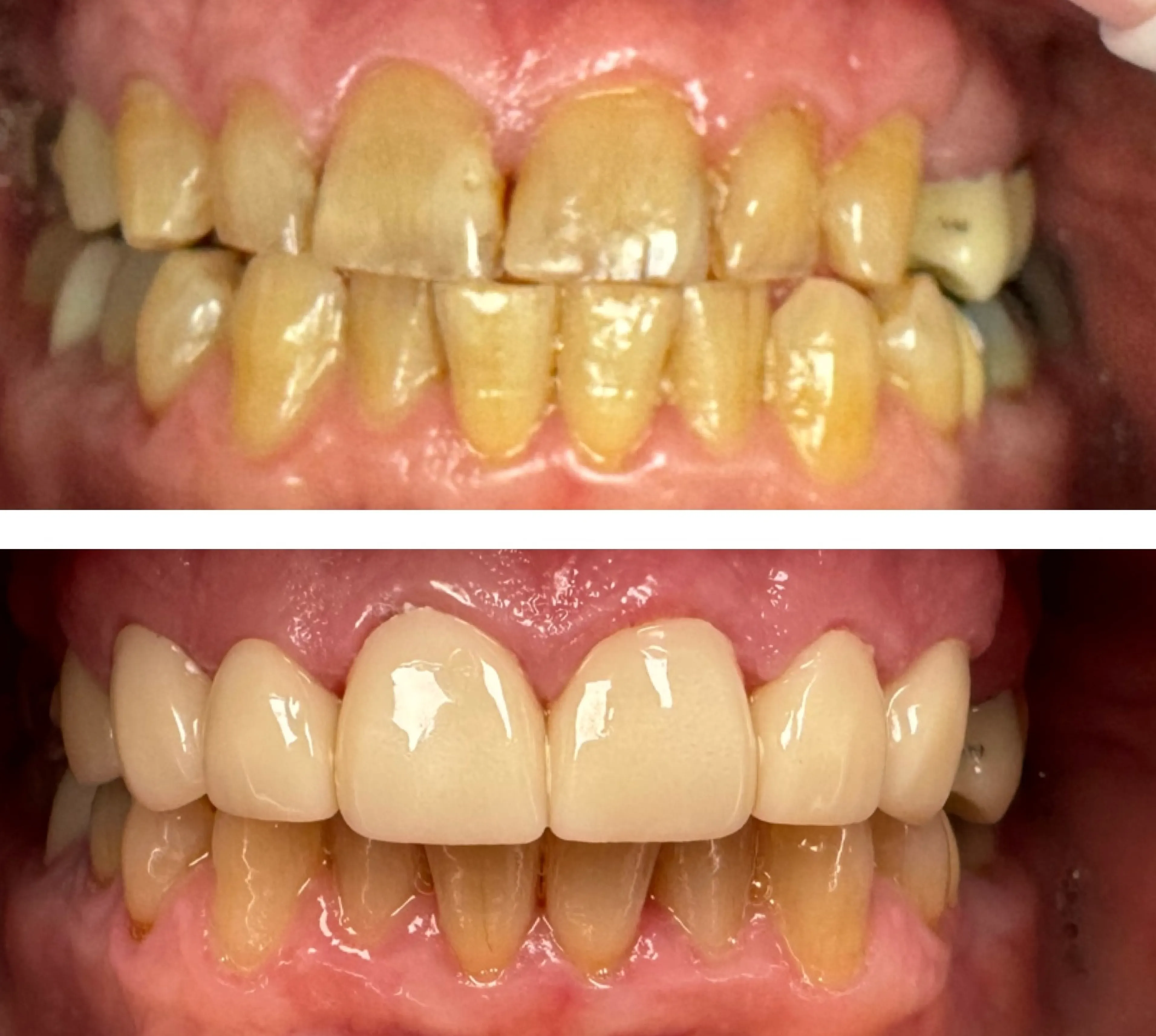
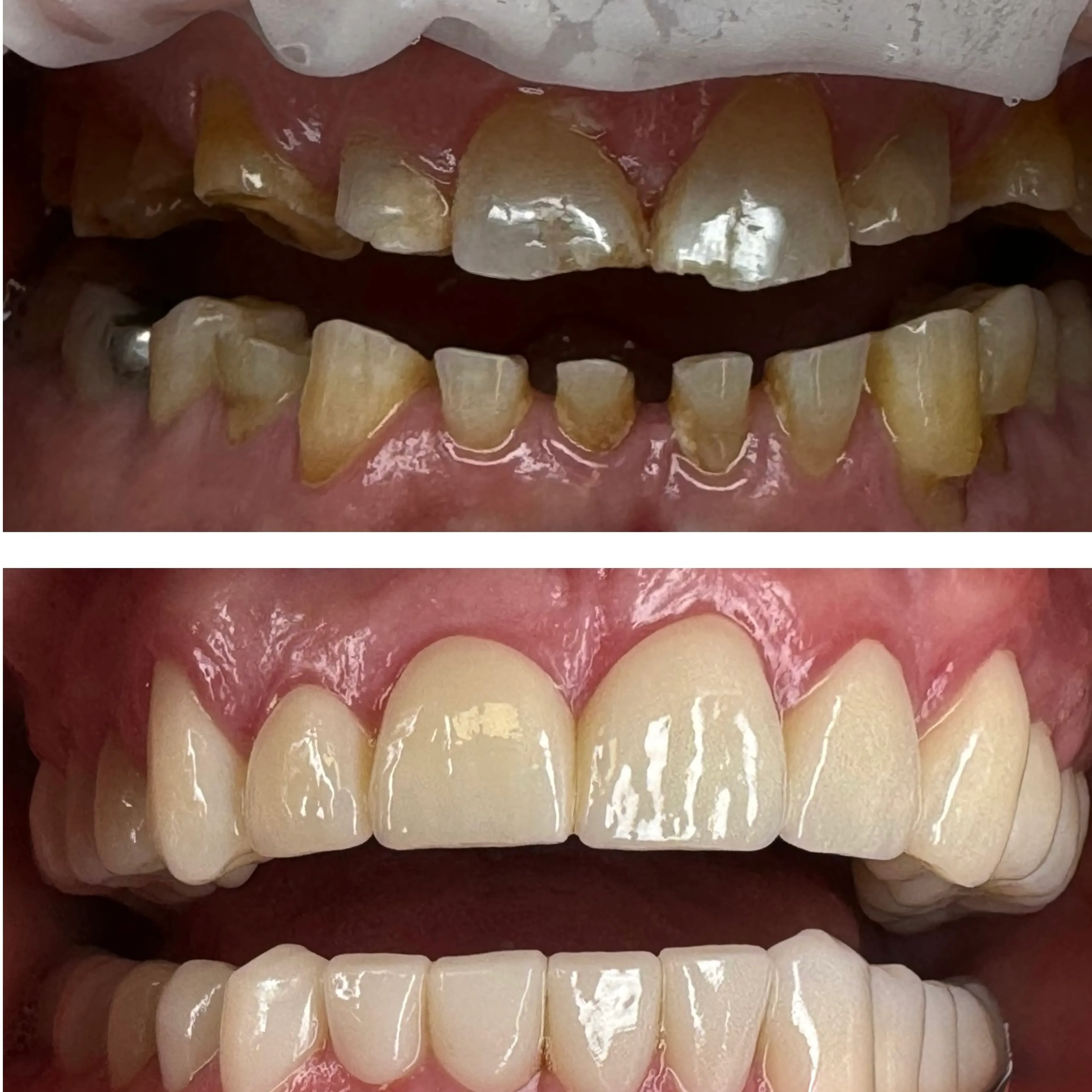
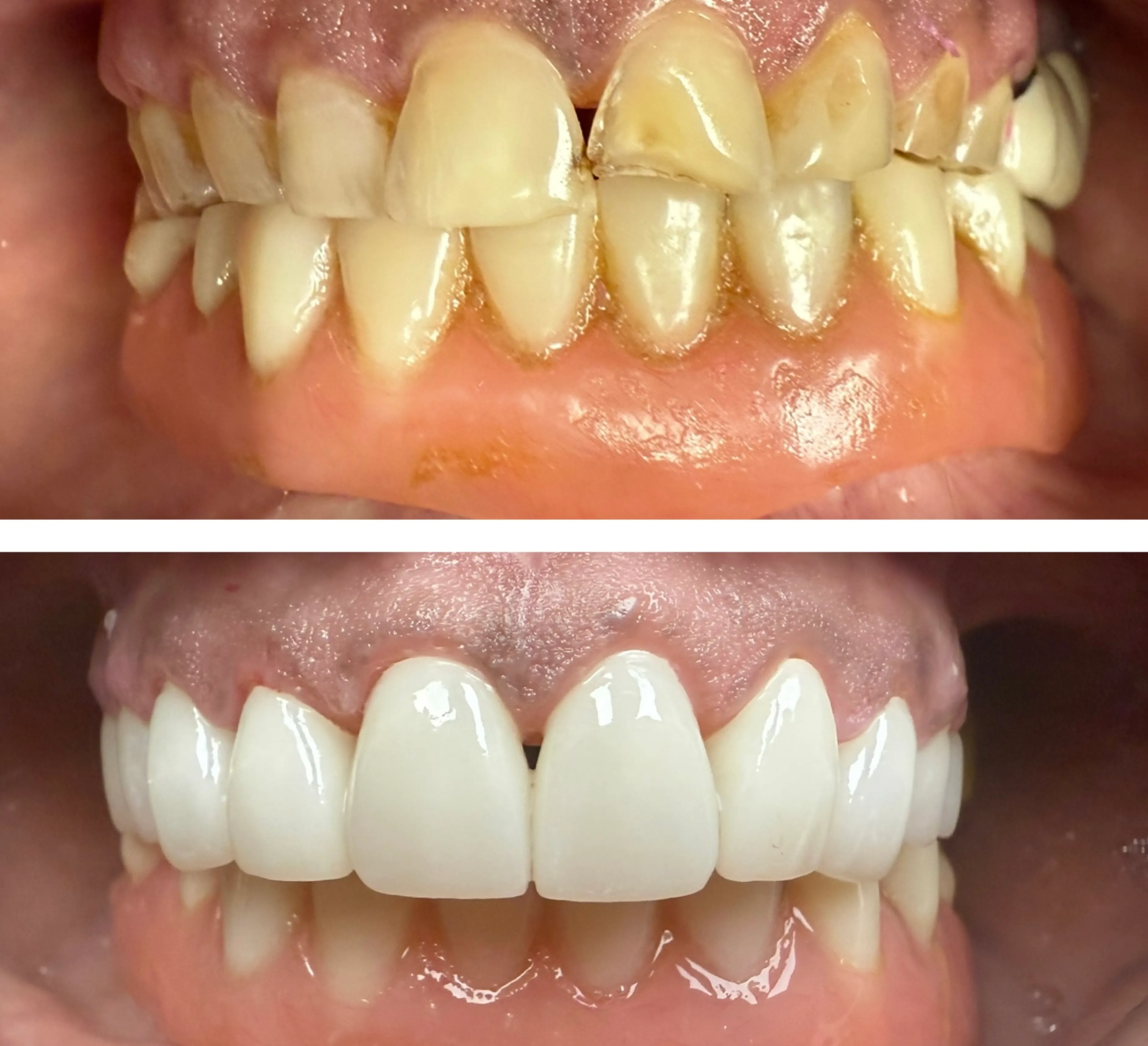
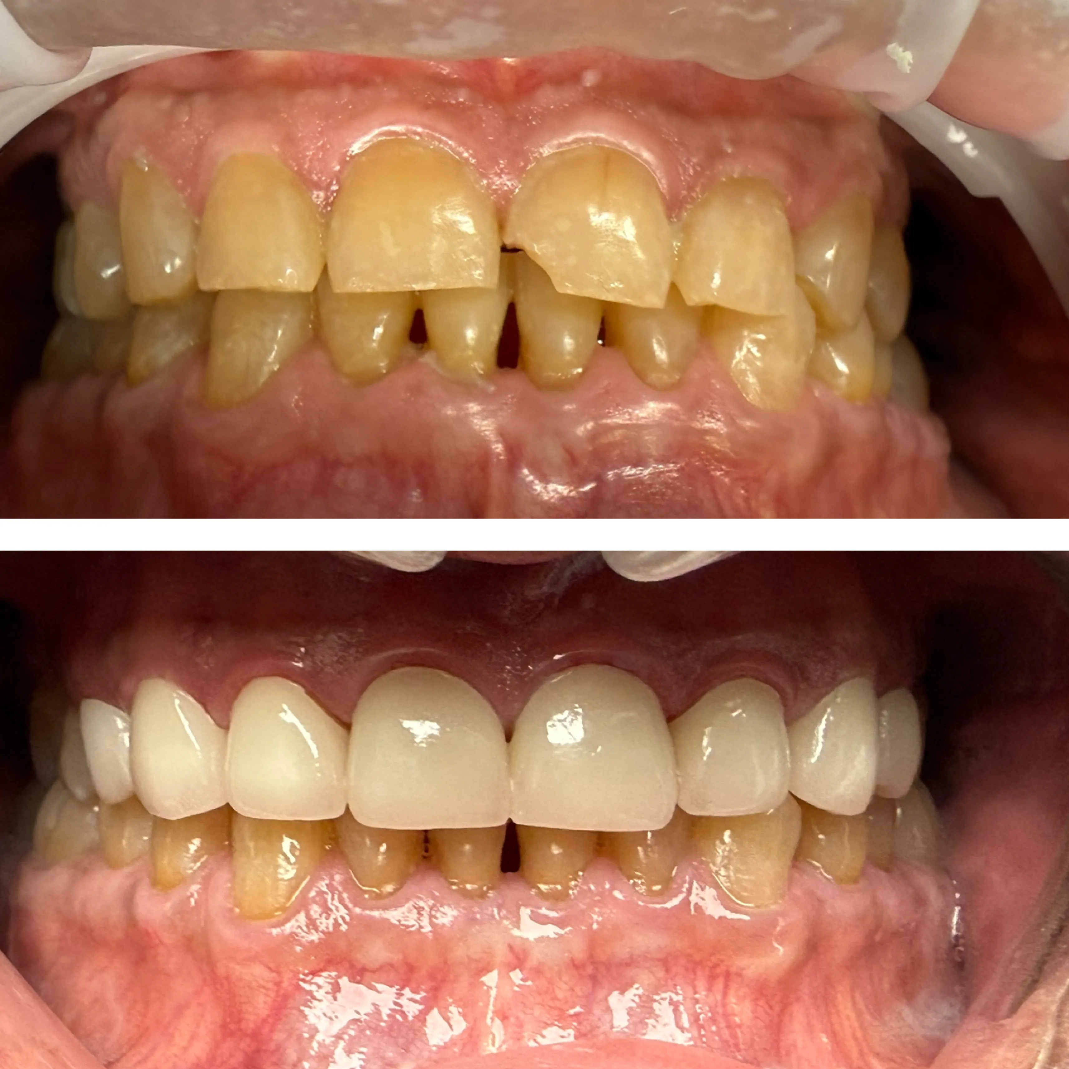
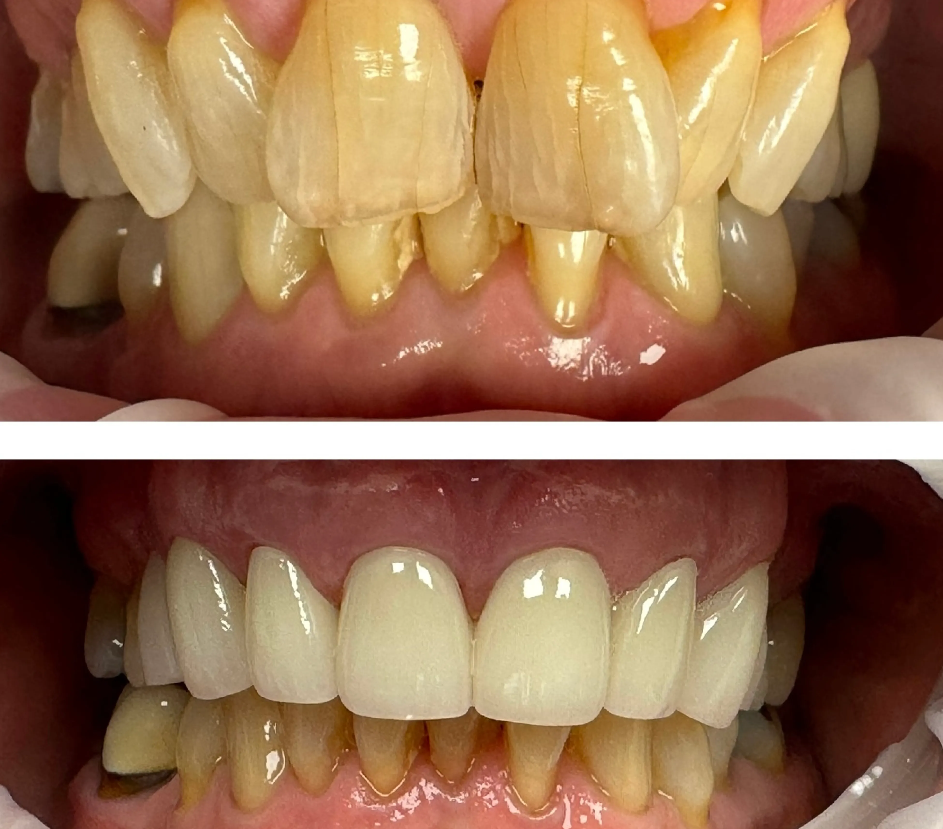
Before & After Transformations
See the incredible results and imagine what’s possible for your smile.
Connect with us
Have questions or ready to book a visit? We’re here to help! Give us a call today—we’d love to help you take the next step toward a healthier, happier smile.












